Грижа за зъбите на домашните любимци - често задавани въпроси

















Кучетата и котките използват зъбите и устата си по начин, по който ние хората никога не бихме ги използвали.
Но що се отнася до болестите, домашните любимци и хората са изправени пред едни и същи рискове.
В настоящата статия ще ви дадем отговорите на някои от най - актуалните и често задавани въпроси, свързани с оралната хигиена и здраве на домашните любимци.
Колко зъби имат кучетата и котките?
Повечето възрастни кучета имат по 42 зъба, а възрастните котки имат 30 зъба. За сравнение ние хората имаме 32 зъба.
Кога падат бебешките зъби на домашните любимци и какво се случва с тях?
Млечните (бебешки) зъбки са 24 на брой. Смяната им обикновено започва след 4-я месец и продължава до 12 - 13 месечна възраст. Това зависи от породата, т.е. бебешките зъби падат по различно време за отделните животни.
Как и къде падат млечните зъбки?
Много често стопаните дори не забелязват кога падат зъбите, тъй като животните ги поглъщат или това се случва, когато животните са навън.
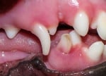
Могат ли домашните любимци да имат допълнителен зъб?
Понякога домашните любимци могат да запазят някой от бебешките си зъби (наричани още краткотрайни или първични зъби). В този случай бебешкият зъб и възрастният зъб заемат една и съща позиция.
Могат да се появят и така наречените "ненужни" зъби, които са допълнителни възрастни зъби. Запазването на някой от бебешките зъби е лошо, защото това пречи на възрастните зъби да се подредят добре и може да доведе до нараняване на венците и други болести.
Останал бебешки (млечен) зъб може да измени правилното подравняване на челюстта, причинявайки болка и затруднено дъвчене. Ако вашият домашен любимец все още има бебешки зъби, след като навърши 12 месеца, трябва да бъде прегледан от ветеринар. Бебешките зъби могат да накарат възрастните зъби да израстват накриво, затова трябва да бъдат отстранени възможно най - скоро.
Някои породи кучета, като например териерите, са предразположени към това да имат допълнителен възрастен зъб. Тези допълнителни зъби могат да растат точно до нормалните зъби или да се показват навън от устата, затова трябва да бъдат премахнати от ветеринарен лекар.
Кой е най - важният фактор, отговорен за проблемите със зъбите при домашните любимци?
Най - големият проблем вероятно е пародонтозата, възпаление на венците, което засяга и здравето на зъбите. В зависимост от това колко напреднало е заболяването могат да бъдат засегнати:
- само венците - този проблем може да се реши с професионално почистване
- всички поддържащи структури на зъба - при това положение може да има възпаление, подуване, кървене и инфекция
Пародонтозата започва, когато зъбната плака, съдържаща бактерии, започне да се натрупва по зъбите на нашите домашни любимци.
Плаката се формира много бързо, затова ако не се премахва редовно, посредством измиване на зъбите, ще се образува зъбен камък. Зъбният камък трябва да се премахва редовно, защото може да унищожи зъба и околните структури.
Повечето кучета и котки развиват някаква степен на пародонтоза, когато навършат 2 или 3 години.
За да предотвратите стоматологичните проблеми на вашия домашен любимец, трябва да положите необходимите усилия за неговата орална хигиена.
Миенето и четкането на зъбите трябва да се осъществява колкото е възможно по - често. Профилактичните прегледи и периодичното почистване на зъбите от страна на ветеринар също са задължителни.
Нуждаят ли се домашните любимци от рентгенови снимки на зъбите?
Отговорът е да. За съжаление у нас все още не е често срещана процедура, но е от изключително важно значение.
Около 70% от заболяванията на венците могат да бъдат установени само с помощта на рентгенография.
Поради този факт диагностиката без рентгенова снимка е неприемлива.
Разширяват ли се венците на домашните любимци както при хората?
Да, венците им могат да се разширяват. Освен това могат да се образуват пародонтални джобове, в които да се развиват различни инфекции.
Почистването на зъбите помага ли за справяне с лошия дъх на домашните любимци?
Почистването на зъбите от стоматолог и редовното им миене ще подобри дъха на животните. Ако зъбите и устата на домашните любимци са здрави и се хранят с качествена храна, те не би трябвало да имат проблеми с дъха.
Какво означава, когато даден зъб промени цвета си?
Това означава, че зъбът умира или вече е мъртъв. Цветът може да се промени от розово през тъмно лилаво до черно.
Някои лекарства също могат да причинят промяна в цвета на зъба. При това положение зъбът не е умиращ, но оцветяването може да бъде постоянно.
Ако забележите, че някой от зъбите на домашния ви любимец си е променил цвета, трябва да се посъветвате с ветеринар.
Могат ли да се запълват каналите на зъбните корени и да им се поставят коронки?
Разбира се. Когато корена или вътрешността на зъба е повредена, се получава инфекция.
А когато това се случи, има два възможни варианта – да се извади зъба или да се почисти и да се направи пломба или коронка, точно както при хората.
Полезно или вредно е дъвченето на кости за животните?
Костите могат да счупят зъбите на нашия домашен любимец и да причинят неприятни стомашно-чревни поражения.
Вместо да давате кости на животните, по - добрият вариант е да изберете продукти, които са предназначени специално за дъвчене. Можете да се посъветвате с вашия ветеринар за това какви играчки да купите.
Какво да правим, ако домашният любимец дъвче пръчки?
Кучетата могат да счупят зъб по много причини, включително когато дъвчат пръчка. Ако забележите такова поведение на животното, трябва да проверите устата му и в случай на счупен зъб незабавно да потърсите медицинска помощ.
Освен това пръчките могат да причинят разкъсвания на езика и стомашно-чревни проблеми. Затова не е никак добра идея да позволявате на домашния любимец да дъвче пръчка.
Има ли дъвчащи играчки, които са полезни за зъбите на домашните любимци?
На пазара има много играчки, които подпомагат отстраняването на зъбния камък и масажират венците. Няма обаче играчки, които помагат при пародонтоза.
Отзиви